

placement of veneers and Lumineers
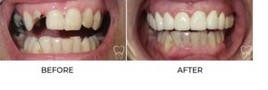
Are you unhappy with how your front teeth look? You are not the only one. In fact, according to a study presented by the American Association of Orthodontists and Wakefield Research, approximately one-third of Americans dislike their smile. If you are among them, we invite you to visit us. Dr. Makadia is an experienced, skilled cosmetic dentist who has already helped countless patients to improve the appearance of their front teeth — he is ready to assist you as well! Read on below to learn more about how we can transform your smile.
(more…)
Reviews
Text Us














