Request Request Appointment Forms Forms Animated quotation marksReviews Reviews Animated smartphoneText Us Text Us Like Us Like us on Facebook Reviews Read Our Reviews Call Give us a Call Map View our Map

Before & After – Bohemia, NY

Smile Makeovers by Dr. Makadia

For over 30 years, Dr. Makadia has provided our patients with the smiles of their dreams. Below, you will find just a few examples of the spectacular results provided at our dental office. We enjoy boosting the confidence of our friends, family, and neighbors here on Long Island one smile at a time. Please contact our dental office, Sunrise Dental Service in Bohemia to find out how we can help you.

Woman sharing flawless smile after cosmetic dentistry

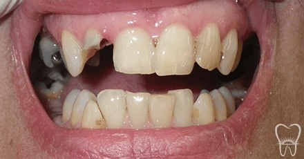
Worn Teeth and Collapsed Bite

Severely worn teeth and collapsed bite Before
Closeup of flawless smile after smile makeover After

This gentleman had a fully collapsed bite and his front teeth were worn to the gum line. He was very unhappy with his smile and had Temporomandibular Joint Disorder (TMD) symptoms. He had initially called our dental office because of a toothache.

His immediate concern of the toothache was addressed by performing a root canal at his first visit to our dental office. He was very happy with the experience at our dental office and asked Dr. Makadia how he can have his worn teeth, collapsed bite, and smile fixed. Most of his original teeth were saved and his bite was restored with a full smile make over. He has called our dental office multiple times just to thank us for his painless experience and the care he received at our dental office. The day his temporary crowns were placed, his wife and he were incredibly happy and amazed with his temporary smile. She immediately sent photos of his smile to their friends and family. Finally he is pain free and takes pride in showing his ear–to–ear smile as they feel that he has the best smile in the neighborhood.

Dr. Makadia and our team are proud of giving him a great smile and restored functionality of his teeth. We look forward to serving your dental needs with an equal amount of planning, thoroughness, and care as we did for him.

Yellow Stained Teeth and Failing Bridge

Closeup of smile with yellow stained teeth and failing dental bridge Before
Closeup of perfected smile after porcelain veneers and dental bridge restoration After

This lady came to our dental office and was very unhappy with her yellow, stained and worn smile with a failing bridge. For five years she was too embarrassed to smile freely and proudly due to her dental issues. She wanted a bright ‘Hollywood’ smile that she could show off confidently.

Dr. Makadia replaced the failing lower bridge and gave her the option to place veneers for her upper teeth, which was possible as she had strong and healthy teeth. She wanted a bright smile and selected the shape, size and color of the teeth. 

With the help of the Sunrise Dental Service staff, we made it happen and gave her the perfect smile she was looking for. Now she loves her new teeth and can confidently smile at parties. She has been a loyal patient to our dental office for more than 18 years and has referred her friends and family to our dental office. We look forward to giving you a similar bright smile and establishing a loyal relationship.

Dark & Crooked Teeth

Closeup of darkly discolred and crooked teeth Before
Closeup of bright healthy smile after smile makeover After

This young woman came to our dental office for an exam and teeth cleaning. She expressed how unhappy she was with her crooked and stained teeth. She wanted a better smile to help enhance her career opportunities.

During the exam, a tooth infection was spotted, and a root canal was performed to save her tooth. After, she was shown a simulation of how her teeth could look with a smile makeover. She totally loved it and decided to proceed with the veneers. Our team helped her work out the financial planning to make her new smile happen. She sent us photos of the smiles from the magazines indicating the shape, size and color she wanted. We made her SMILE wish come true just in time for Christmas and the holidays. We look forward to fulfilling similar SMILE wishes for you.

Missing Teeth

Closeup of smile with damaged and missing teeth Before
Closeup of perfected smile after dental restoration and tooth replacement After

This woman had a busy life, was not able to maintain her dental health over the years, and had several missing teeth. She was not happy with her smile, was self–conscious and was hesitant to smile freely. She wanted to replace her missing teeth.

Dr. Makadia heard her concerns, offered treatment options and developed a plan that met her specific needs. A full mouth cosmetic makeover was done as well as restoration of the functionality of the teeth and mouth. Now she enjoys looking at her new younger looking smile with a full set of teeth in the mirror. She is anxiously waiting for the COVID situation to be over so she can show her beautiful smile to everyone. We look forward to helping other patients with the same level of attention and catering to their needs.

Missing Teeth: WEDDING SMILE

Man with several missing teeth before his wedding Before
Man's flawless smile in time for his wedding After

This gentleman had missing front teeth. He called our dental office 17 days before his wedding day and wanted us to give him the WEDDING SMILE.

Dr. Makadia worked out a plan that met his needs and did the cosmetic smile makeover with crowns and bridges just in time for the wedding. He and his family were very happy with the services we provided. He even visited our dental office on the morning of his wedding day to confirm that everything with his smile looked perfect. We look forward to providing you a similar smile makeover if you are planning for a big day or even if you just want a beautiful smile.

Red, Swollen, Bleeding Gums
and Bad Breath

Patient with smile damaged due to advanced gum disease Before
Smile after laser gum therapy After

This gentleman had gum disease. He had bleeding and swollen gums, bad breath, and was experiencing gum pain. Unfortunately, he did not have a good understanding of how important gum treatment is for overall dental health and had been ignoring the situation for some time.

Dr. Makadia sat down with this gentleman and explained what the laser gum therapy is and what to expect during and after the treatment. The treatment was done in four visits with NdYag Fotona Laser. Since the laser eliminated the need for any cutting or suturing of the gums, it was a painless experience. At his follow up visits to our dental office there was no more bad breath, nor swollen or bleeding gums. He was able to preserve his gums, bone and teeth for many years to come. We look forward to providing similar results to anyone suffering from gum disease. There is no need to be embarrassed of bad breath, leave it to us to fix it. 

Toothache, Broken and Worn Teeth

Smile with broken and worn teeth Before
Smile completely renewed after smile makeover After

Dental situations and emergencies do happen… This woman broke her front tooth on a Friday evening. With work on Monday as a healthcare provider, she was worried she would have to take time out of her busy schedule to get her tooth fixed.

We were able to see her as an emergency patient on Saturday. Dr. Makadia saved her tooth by performing a root canal, post and cap on the same day. She was able to go to work on Monday as if nothing had ever happened. Two weeks later she came and asked how she can have all of her upper teeth secured to avoid such emergencies. Her teeth were secured, and a smile makeover was done with crowns and bridges. We look forward to saving the day during dental emergencies and safeguarding you from future dental ones as well.

Toothache and Worn Teeth

Smile with severely worn bottom teeth Before
Flawless smile after dental crowns and dental bonding After

This gentleman had a toothache and came to our dental office thinking it would need to be extracted. He had worn, pitted teeth because of heavy grinding.

We were able to relieve him from the toothache during the first visit. He was pleased with the dental experience at our dental office and decided to restore his teeth with us. A couple of treatments were done to ensure healthy gums and teeth and the worn teeth were restored with crowns and bonding. His new teeth are longer, stronger and brighter.

Lots of Missing Teeth

Smile with numerous missing bottom teeth Before
Flawless smile after replacing lost bottom teeth After

This gentleman had a severe toothache and came to our dental office to get his tooth pulled. With very few teeth remaining in his mouth, he had difficulties chewing food and had to use his gums to eat soft foods.

The remaining teeth were extracted. There was bone–loss and insufficient foundation for denture support. A couple of implants and over dentures were placed. Now, with his implants and denture securely in his mouth, he is able to eat and chew better than before. The functionality of his mouth is now restored and he is very happy to show his smile. He has referred many of his friends to our dental office and is our living billboard! 

Red, Swollen, Bleeding Gums and Bad Breath

Smile with red swollen and bleeding gums Before
Helathy teeth and gums after laser gum disease treatment and restorative dentistry After

This young parent and business owner with a busy life had gum problems, sensitivities, toothaches and crooked teeth. He decided to make his dental health a priority and visited our dental office.

Dr. Makadia planned his treatments to be done in a few stages and discussed it with the patient and his wife. His primary concerns were addressed by performing laser gum treatment, cavity fillings, and other treatments. His gums healed nicely and his teeth sensitivities were gone. He is now in the process of getting Invisalign treatment to straighten out his crooked teeth.

Loose and Moving Teeth–Detached Gums

Smile with loose teeth due to detached gums Before
Smile after laser gum treatment to reattach teeth and improve oral health After

This gentleman had detached gums, bone loss and loose teeth. He came to our dental office to have his loose teeth pulled. Other dental offices had told him that he would need to have them replaced with expensive implants. He was worried about the expense and how he would look without the teeth until the treatments and healing were completed.

Dr. Makadia explained to him that his teeth were loose due to detached gums and gave him an option to save them with laser gum treatment. After the laser gum treatment, the gums regenerated and healed well. The gums reattached nicely and the teeth are no longer loose. Now he is educated on proper dental and gum health maintenance. It is important to us that all our patients are well informed about their possible treatment options.

Cross Bite, Gum Disease, Broken
and Stained Teeth

Misaligned and decayed teeth Before
Aligned and healthy smile after orthodontics and restorative dentistry After

This gentleman had severe crossbite, crooked teeth alignment, gum disease, loose teeth, sensitivity and bleeding, broken and missing back teeth, and pain while opening and closing his mouth.

Several treatments including orthodontic procedures, laser gum surgery, and placement of crowns were all performed in our dental office by Dr. Makadia. Healthy gums and elimination of his cross bite by proper alignment of the teeth alleviated all of his dental concerns. The icing on the cake was the beautiful, bright smile he has now. Do not be discouraged if you have multiple dental concerns. The team at our dental office is your one stop shop to get all the dental help you need.

Missing Teeth, Dental Phobia

Smile with missing teeth and dental damage Before
Patient's smile after flawless fixed bridge placement After

This young woman had a phobia of any dental work being done in her mouth. She had missing teeth. She decided to take care of her smile and visit our dental office. 

A proper treatment plan was developed for her. She was put to sleep while we did all the work. Extractions and placement of a bridge were done, and her fear was replaced with a beautiful smile.

Broken, Infected and Missing Teeth

Severely damaged and decayed smile with several missing teeth Before
Healthy flawless smile after dental crown and fixed bridge restorations After

This gentleman had broken and missing teeth along with an infection in his mouth. He was unable to properly chew his food. 

The infection was removed by doing a gum treatment and extracting some teeth. Crowns and Bridges were done that gave him a new, brighter and younger looking smile. Now he is able to chew his food easily and will continue for many years to come. Our Dental Team is ready to help our patients improve their ability to chew and enjoy the food they love.

Academy of General Dentistry logo Lumi Smile by Lumineers logo SureSmile Logo Invisalign logo Fotona logo